Tratamentos odontológicos
de alta tecnologia em Rondonópolis

Soluções modernas para quem quer voltar a sorrir sem medo!

Por que escolher a Vivá odontologia ?

Implantes de Carga Imediata

Recupere seu sorriso com rapidez e segurança

Escaneamento Digital 3D

Mais precisão e conforto sem moldagens tradicionais

Próteses personalizadas

Soluções sob medida para cada paciente

Sedação Consciente

Tratamento tranquilo e sem medo

A experiência Vivá em cada detalhe
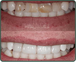
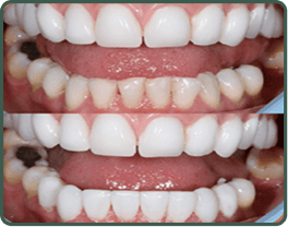
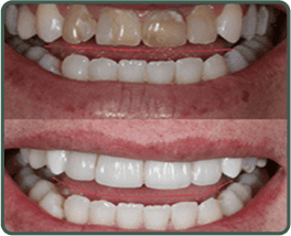
Início do procedimento e final do procedimento
transformações reais
Conheça os especialistas por trás da Vivá Odontologia

Dra. Gabriella

Especialista em Prótese Dentária

Gabriella é formada em Odontologia pela FOA/UNESP, uma das melhores universidades do mundo, e especializou-se em prótese dentária pela Residência da Universidade estadual de Londrina (UEL), além de concluir vários cursos de formação complementar ao longo da carreira. Seu sonho sempre foi voltar para a sua cidade natal Rondonópolis para ficar perto da família e também através do seu trabalho trazer inovação e uma odontologia de alta performance para a cidade.

Rafaella é formada em odontologia pela faculdade São Leopoldo Mandic e especialista em Ortodontia. Credenciada nas melhores marcas de alinhadores invisíveis do mercado, retornou a sua cidade natal com a missão de transformar sorrisos, unindo tecnologia e cuidado humanizado para oferecer o que há de mais inovador na odontologia.

Dra. Rafaella

Especialista em Ortodontia

Dra. Rafaella

Especialista em Ortodontia

Rafaella é formada em odontologia pela faculdade São Leopoldo Mandic e especialista em Ortodontia. Credenciada nas melhores marcas de alinhadores invisíveis do mercado, retornou a sua cidade natal com a missão de transformar sorrisos, unindo tecnologia e cuidado humanizado para oferecer o que há de mais inovador na odontologia.

Dr. Lucas

Especialista em Implantes e Enxertos

Lucas é Formado na UNESP Especializado em Implantes e Enxertos pela USP e Habilitado em sedação consciente, uma técnica utilizada nos EUA à muito tempo. Possui + de 7000 implantes instalados e milhares de pacientes satisfeitos. Fundador de Uma clínica em São Paulo com um faturamento Milionário (+30 milhões). Trouxe para Rondonópolis uma Odontologia de alta tecnologia visando a qualidade de vida da população.

Dr. Lucas

Especialista em Implantes e Enxertos

Lucas é Formado na UNESP Especializado em Implantes e Enxertos pela USP e Habilitado em sedação consciente, uma técnica utilizada nos EUA à muito tempo. Possui + de 7000 implantes instalados e milhares de pacientes satisfeitos. Fundador de Uma clínica em São Paulo com um faturamento Milionário (+30 milhões). Trouxe para Rondonópolis uma Odontologia de alta tecnologia visando a qualidade de vida da população.

© 2025 Vivá Odontologia. Todos os direitos reservados.